Histo Blog

A Closer Look: Anatomic Pathology, Clinical Pathology, and Molecular Pathology Compared

A Closer Look: Anatomic Pathology, Clinical Pat...

What's the Difference? Anatomic, Clinical, and Molecular Pathology explained.

A Closer Look: Anatomic Pathology, Clinical Pat...

What's the Difference? Anatomic, Clinical, and Molecular Pathology explained.

The Role of Pathology in Medical Diagnosis & Treatment

The Role of Pathology in Medical Diagnosis & Tr...

Pathology is essential for accurate diagnosis and effective treatment of many medical conditions.

The Role of Pathology in Medical Diagnosis & Tr...

Pathology is essential for accurate diagnosis and effective treatment of many medical conditions.

IHC Double Stain

IHC Double Stain

Immunohistochemistry (IHC) is a technique used in histology to visualize specific antigens or proteins in tissues using labeled antibodies.

IHC Double Stain

Immunohistochemistry (IHC) is a technique used in histology to visualize specific antigens or proteins in tissues using labeled antibodies.

Colloidal Iron

Colloidal Iron

The colloidal iron stain with Prussian blue is a histological staining technique that is used to detect the presence of iron in tissues.

Colloidal Iron

The colloidal iron stain with Prussian blue is a histological staining technique that is used to detect the presence of iron in tissues.

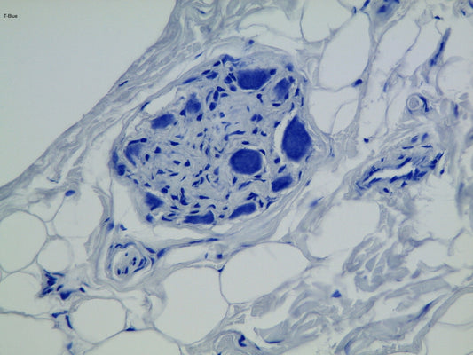
Toluidine Blue

Toluidine Blue

Toluidine blue is a basic thiazine metachromatic dye that is used in histology to stain acidic components of cells and tissues.

Toluidine Blue

Toluidine blue is a basic thiazine metachromatic dye that is used in histology to stain acidic components of cells and tissues.

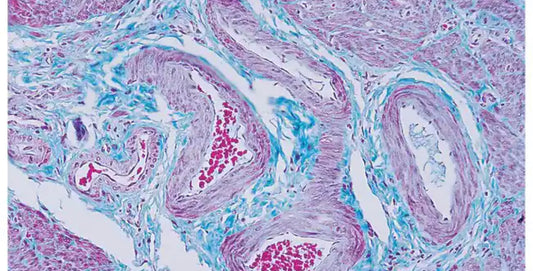
Gomori one-step trichrome

Gomori One-Step Trichrome

Gomori one-step trichrome stain is a histological staining technique used to differentiate and visualize various tissue components...

Gomori One-Step Trichrome

Gomori one-step trichrome stain is a histological staining technique used to differentiate and visualize various tissue components...